出っ歯の症例を
ご紹介

出っ歯とは上の歯が下の歯よりも出ている状態のことを言いますが、出っ歯には2種類あります。
・上の歯が歯茎から斜めに突き出した状態
・歯茎全体が前に出ている状態
全体のバランスを取りにくいため、虫歯や歯周病にもなりやすく、また唇を閉じることができないという可能性も出できます。
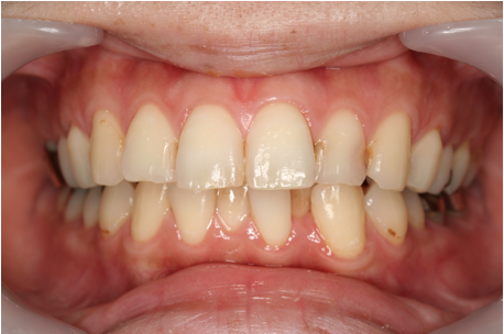
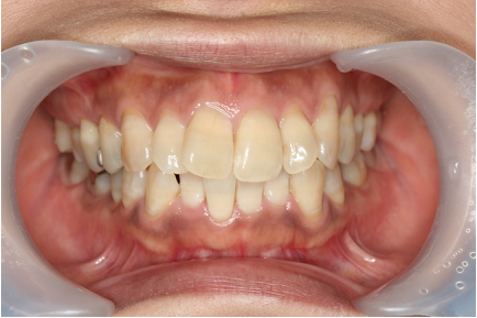
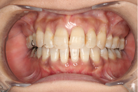
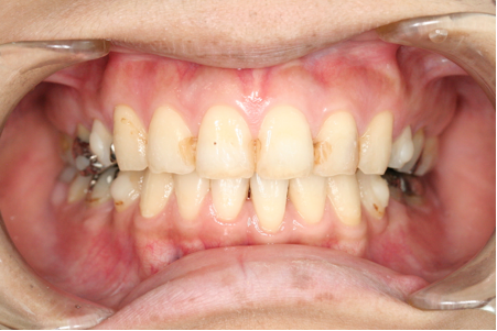
症例1
BEFORE
AFTER
| 年齢・性別 | 31歳・女性 |
|---|---|
| 治療期間 | 3年 |
| 治療に関するコメント | 抜歯が必要でしたが、見た目も機能も満足できるものだと思います。 |
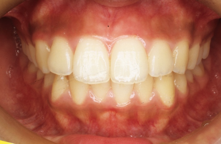
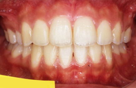
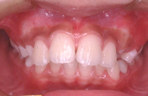
症例2
BEFORE
AFTER
| 年齢・性別 | 29歳・女性 |
|---|---|
| 治療期間 | 3年 |
| 治療に関するコメント | 今では、2人のお子さんも一緒に定期健診に来てくださいます。 |
症例3
BEFORE
AFTER
症例5
BEFORE
AFTER



出っ歯の症例

