開咬の症例を
ご紹介

奥歯がきちんと咬み合っている状態にもかかわらず、前歯が咬み合わず口を閉じられない状態を「開咬」と言います。言葉自体にはあまりなじみがないかもしれませんが、決して珍しい症状ではありません。12~20歳においては、10人に1人は開咬、またその傾向があると言われています。
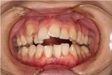
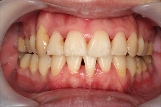
症例1
BEFORE
AFTER
| 年齢・性別 | 32歳・女性 |
|---|---|
| 治療期間 | 3.5年 |
| 治療に関するコメント | 本来ならば、外科手術併用での治療なのですが、どうしても矯正の範囲内でとのことでここまで改善出来ました。 |



開咬の症例

