叢生の症例を
ご紹介

顎のスペースが足りない、もしくは歯が大きいために、歯が重なって生えている状態です。乱杭歯(らんぐいば)ともいいます。
犬歯が飛び出た状態の八重歯(やえば)も叢生の一種です。開咬(かいこう)、反対咬合(はんたいこうごう)、過蓋咬合(かがいこうごう)などのさまざまな不正咬合(ふせいこうごう)を伴うことがよくあります。
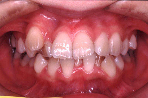
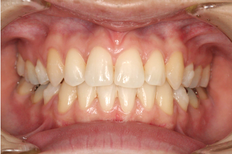
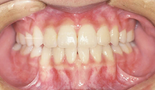
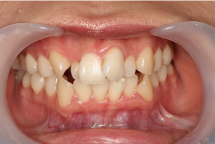
症例1
BEFORE
AFTER
| 年齢・性別 | 20歳・女性 |
|---|---|
| 治療期間 | 2.5年 |
| 治療に関するコメント | 矯正治療を経験し「美」に対する興味を持ったとのことで、現在はエステティシャンとして活躍中の患者さんです。 |
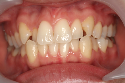
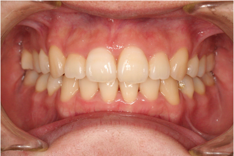
症例2
BEFORE
AFTER
| 年齢・性別 | 21歳・女性 |
|---|---|
| 治療期間 | 2.5年 |
| 治療に関するコメント | 1年後の就職活動前に治したいと来院された患者さん。期間は間に合いませんでしたが、結果には満足して頂きました。 |
症例3
BEFORE
AFTER
| 年齢・性別 | 21歳・女性 |
|---|---|
| 治療期間 | 2.5年 |
| 治療に関するコメント | 1年後の就職活動前に治したいと来院された患者さん。期間は間に合いませんでしたが、結果には満足して頂きました。 |
症例4
BEFORE
AFTER
症例5
BEFORE
AFTER



叢生(乱杭歯)の症例

