すきっ歯の症例を
ご紹介

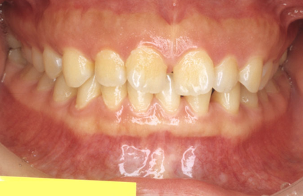
歯と歯の間に隙間が生じている状態を言います。
・正中離開
上の前歯の中心に2ミリ程度の隙間がある
・矮小歯
歯の形が小さく、円錐型や栓状型に変化してしまう
この2つのケースは歯の形態異常から起こる隙間となります。
主な原因は歯と顎のサイズに不調和がある(歯が小さい、顎が大きい)、または歯の数が少なくて生じる隙間となります。
症例1
BEFORE
AFTER
すきっ歯の症例SHARP TEETH

歯と歯の間に隙間が生じている状態を言います。
・正中離開
上の前歯の中心に2ミリ程度の隙間がある
・矮小歯
歯の形が小さく、円錐型や栓状型に変化してしまう
この2つのケースは歯の形態異常から起こる隙間となります。
主な原因は歯と顎のサイズに不調和がある(歯が小さい、顎が大きい)、または歯の数が少なくて生じる隙間となります。