受け口の症例を
ご紹介

受け口というのはかみ合わせ(咬合)が 正常な状態と逆(反対)になっている状態を指します。
受け口(反対咬合)の原因が歯にある場合は、一般的に歯の矯正で治療する事が可能です。
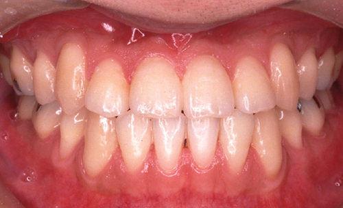
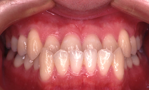
症例1
BEFORE
AFTER
受け口(下顎前突)の症例MANDIBULAR PROTRUSION

受け口というのはかみ合わせ(咬合)が 正常な状態と逆(反対)になっている状態を指します。
受け口(反対咬合)の原因が歯にある場合は、一般的に歯の矯正で治療する事が可能です。